Abiti nella zona della Martesana, o a Treviglio e Bassa Bergamasca, e ti piacerebbe saperne di più sull’ortodonzia trasparente per te e i tuoi figli?
Il Dottor Paoloantonio Cavellini, direttore degli Studi Mezzena e il suo team ti aspettano a Pessano in Piazza Castello, 26 (Telefono: 02.9504033) e Treviglio in Via Curletti Coniugi, 12 (Telefono: 0363.41731) con il seguente programma di giornate dedicate all’ortodonzia:
● 8 marzo Treviglio
● 13 marzo pomeriggio Treviglio
● 15 marzo Pessano
● 20 marzo pomeriggio Pessano
● 29 marzo Pessano e Treviglio
Ortodonzia e orto-pedodonzia, giornate dedicate agli Studi Mezzena di Pessano e Treviglio
Le giornate dedicate all’ortodonzia presso gli Studi Mezzena rappresentano un’occasione imperdibile sia per conoscere da vicino l’ortodonzia trasparente, una soluzione moderna e molto efficace per allineare i denti senza fastidi e con il massimo della discrezione, per la salute e il sorriso degli adulti e dei bambini.

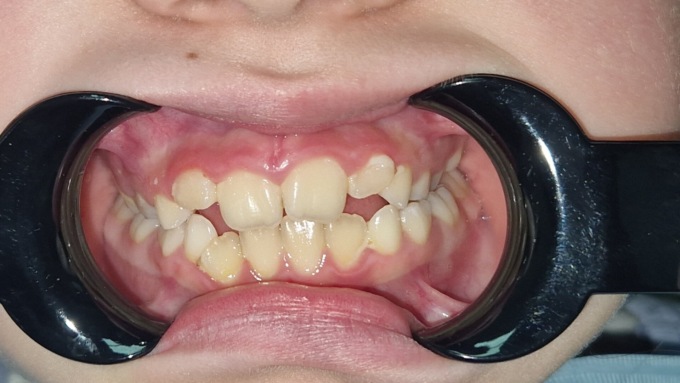
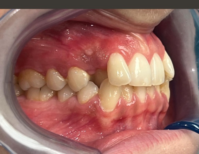
Disallineamento dentale: una questione di salute e benessere
Denti storti o non allineati non sono solo un problema estetico. «Quando i denti non sono posizionati correttamente o mancano, possono insorgere dolori neuromuscolari e articolari inattesi e spiacevoli» spiega il Dottor Cavellini. «Tra questi rientrano i dolori cervicali, che possono svilupparsi in conseguenza di malocclusioni. Questo perché la mandibola si affatica nel tentativo di compensare lo squilibrio, causando tensioni muscolari persistenti».
GUARDA LA GALLERY (2 foto)
Estrusione di canino incluso
Per una diagnosi corretta è fondamentale una visita specialistica. «Negli Studi Mezzena, i nostri specialisti in ortodonzia utilizzano scanner intraorali di ultima generazione per rilevare impronte digitali in modo rapido ed estremamente preciso. Questo è uno step fondamentale per valutare un piano di cura adatto alla singola persona».
La orto-pedondonzia: è fondamentale la cura del sorriso dei più piccoli
Prendersi cura del sorriso è fondamentale già in tenera età, a partire dai 2 anni. L’orto-pedodonzia è importantissima per guidare o correggere la cattiva crescita dei denti e delle ossa mascellari dei vostri bambini.
È importantissimo fare una valutazione delle funzioni masticatorie e dell’occlusione nei bambini, anche durante la fase dei denti da latte. Questi esami sono fondamentali per rilevare eventuali disallineamenti dentali o anomalie scheletriche che possono compromettere lo sviluppo della mascella o della mandibola. Rilevare precocemente tali problematiche consente di intervenire con trattamenti ortodontici intercettivi, come apparecchi dentali mirati a correggere il problema durante la crescita. La terapia precoce può prevenire l’insorgere di disturbi più complessi e ridurre la necessità di interventi più invasivi in futuro, come estrazioni o chirurgia ortognatica.
GUARDA LA GALLERY (2 foto)
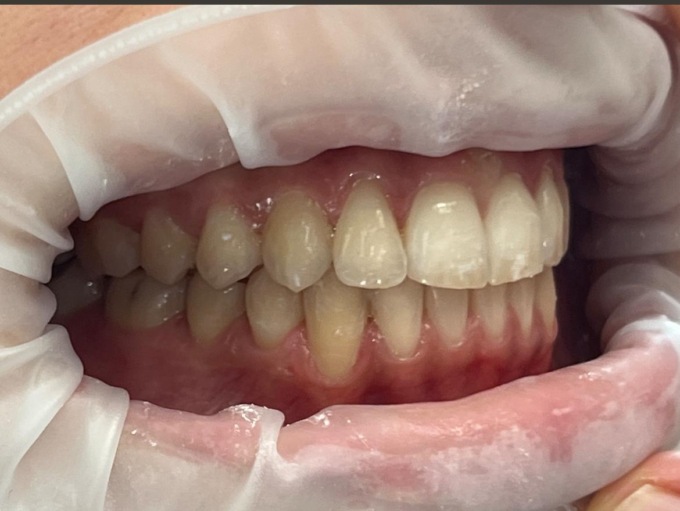
I vantaggi dell’ortodonzia trasparente
«L’ortodonzia trasparente presenta molteplici vantaggi – spiega il dottor Cavellini -. Consente infatti di trattare le problematiche di disallineamento e malocclusione, anche quelle più complesse». Nello specifico il trattamento negli adulti garantisce di ottenere un sorriso armonioso senza l’ingombro di fili metallici, garantendo un maggiore comfort e nessuna irritazione a gengive e mucose.
Molto valido anche nei bambini
Questo trattamento è molto valido nei bambini perché permette, con un approccio meno invasivo, più confortevole e più rapido rispetto agli apparecchi tradizionali, di prevenire problemi futuri anche molto fastidiosi soprattutto se il trattamento inizia precocemente.
Agire tempestivamente riduce le tempistiche del trattamento e assicura risultati duraturi.
Come funziona il trattamento?
«Dopo aver acquisito una scansione digitale 3D delle arcate dentarie ed effettuato un set fotografico del viso, analizziamo il caso» spiega il Dottor Cavellini. «Questi strumenti ci permettono di definire un piano di cura personalizzato, studiando ogni fase con software avanzati».
Mascherine da indossare 20 ore al giorno
Le mascherine trasparenti, sostituite ogni 7-10 giorni, spostano i denti gradualmente. «Affinché il trattamento sia efficace, devono essere indossate per almeno 20 ore al giorno, rimuovendole solo per mangiare e lavarsi i denti» sottolinea Cavellini. La durata del trattamento varia dai 12 ai 24 mesi per i casi più complessi, mentre i trattamenti più semplici possono risolversi in 3-6 mesi.
Pedodonzia e ortodonzia a Pessano: cosa succederà durante la giornata?
Ad accogliere i pazienti grandi e bambini sarà la Dott.ssa Ilaria Conti, nuovo membro dello staff degli Studi Mezzena, esperta in ortodonzia fissa, invisibile e in ortodonzia intercettiva. La dottoressa effettuerà tutti i controlli necessari e fornirà a ciascun paziente il piano di cure più adatto.
Durante le giornate dedicate i partecipanti potranno:
● Accedere ad una prima valutazione ortodontica con impronte digitali effettuata con scanner 3d
● Confrontarsi con team dello studio e ricevere informazioni dettagliate sui trattamenti ortodontici
● Vedere da vicino le tecnologie digitali più avanzate per la diagnosi e la pianificazione del trattamento
● Ricevere consigli personalizzati su come migliorare la salute orale e l’estetica del sorriso.
● Ricevere un preventivo sul piano di trattamento con le varie soluzioni finanziarie personalizzate
📅 Segna le date:
- 8 marzo Treviglio
- 13 marzo pomeriggio Treviglio
- 15 marzo Pessano
- 20 marzo pomeriggio Pessano
- 29 marzo Pessano e Treviglio
Non perdere questa occasione per scoprire come ottenere un sorriso sano e armonioso per te e i tuoi figli con le tecnologie più innovative. Prenota subito il tuo appuntamento! Come?
Chiamaci allo 02.9504033 (Pessano) oppure allo 0363.41731 (Treviglio)
Oppure clicca a questo link: https://www.studimezzena.it/giornata-dedicata-pedonzia-e-ortodonzia-invisibile-treviglio-pessano/